Skip to main content
Skip to main navigation menu
Skip to site footer
Open Menu
Home
Current
Archives
Announcements
Publication Ethics
About
About the Journal
Submissions
Editorial Team
Privacy Statement
Contact
Search
Register
Login
Home
/
Archives
/
Vol. 17 No. 1 (2026): January - June 2026
Vol. 17 No. 1 (2026): January - June 2026
Published:
2026-01-06
Original articles
Efficacy of a Rapid External Ventricular Drain (EVD) Weaning Protocol in Preventing EVD Associated Complications
Boonmanus Aeknipitpittaya, Todsapon Praphanuwat, Chanon Srihagulang, Jirapong Vongsfak, Tanat Vaniyapong, Wanarak Watcharasaksilp, Thunya Norasethada, Chumpon Jetjumnong
1-7
PDF
5-year recurrent rate and factors related recurrent spinal meningioma
Patipat Pirunrungruang, Luckchai Phonwijit
8-21
PDF
Incidences of pressure injury in neurosurgery at Neurological Institute of Thailand
Anchalee Chansangsri, Waranya Paksa, Lottipon Pengson, Nattacha Promdee
35-45
PDF
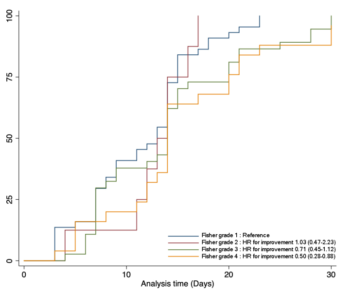
Efficacy of Endovascular Treatment Versus Surgical Clipping for Rupture Intracranial Aneurysms
Chonnawee Chaisawasthomrong, Karn Yosthornsawasdi
55-68
PDF
Case Report
Modified DCER technique for Basilar invagination and atlantoaxial dislocation in neurofibromatosis type 1: A Case Report
Sirawich Paokunta, Todsapon Praphanuwat, Chumpon Jetjumnong
46-54
PDF
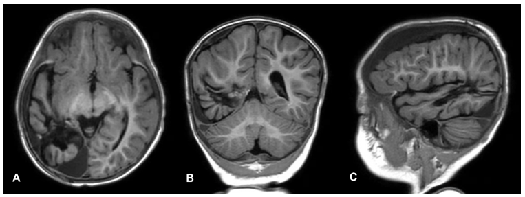
Infantile High-Grade Glioma : A Case Report from Southern Thailand
Rachakorn Punyasiri, Avika Trakulpanitkit, Thara Tunthanathip
22-29
PDF
Narrative Medicine
History of Neurosurgery Unit in Thammassat University Hospita
Pornchai Yodwisithsak
30-34
PDF
homethaijo
Home ThaiJO
Language
English
ภาษาไทย
manual
Manual
For Author (Thai)
For Reviewer (Thai)
Information
For Readers
For Authors
For Librarians
facebook
visitors
นโยบายการคุ้มครองข้อมูลส่วนบุคคล
Privacy policy